IMED Easy Fix® Mobilni prozirni aligner za Vaš savršeni osmijeh
Ispravite zube bez neuglednih žica i bravica uz IMED Easy Fix® zubni aparatić - brzo, udobno i potpuno diskretno!
Kako djeluju mobilni aligneri?
Za razliku od tradicionalnih aparatića koji pomiču zube pomoću fiksnih bravica i žice, aligneri koriste tanke, prozirne udlage koje se izrađuju individualno za svakog pacijenta. Udlage se mijenjaju otprilike svaka 2 tjedna i postupno pomiču Vaše zube u željeni položaj.
Osim što su gotovo neprimjetni u ustima pacijenta, najveća prednost mobilnih alignera je to što se mogu skinuti po potrebi, što značajno olakšava vrijeme jela i održavanje oralne higijene.
"Iza IMED Easy Fix® sistema stoji stručni i iskusni tim Poliklinike IMED i IMED Dental Laboratorija."
Prednosti IMED Eady Fix® aparatića

IMED Easy Fix izrađen je od visokokvalitetnog i tankog prozirnog materijala, stoga možete nositi svoj aparatić diskretno i sa samopouzdanjem.

Budući da se Easy Fix ne fiksira na zube poput klasičnih aparatića, može se lako umetnuti i skinuti po potrebi prilikom jela i pranja zubi.

Za razliku od fiksnih aparatića, kod mobilnih aparatića poput Easy Fix-a nema žica i bravica koje mogu iritirati Vaše obraze i desni.

IMED Easy Fix predstavlja cjenovno pristupačniju alternativu od Invisalign® aparatića, što čini ortodontsku terapiju dostupnu svima.
Kako znati jesam li kandidat za Easy Fix?
Mobilni aparatići za zube, pa tako i IMED Easy Fix®, preporučuju se pacijentima koji:
- Mogu dosljedno nositi aparatić minimalno 20-22h dnevno
- Žele ispraviti razmaknute, rotirane ili blago zbijene zube
- Trebaju manju korekciju zagriza
- Ponavljaju ortodontsku terapiju zbog recidiva (nosili su već aparatić u prošlosti)
- Traže mobilnu, diskretnu alternativu fiksnim aparatićima
Konačna odluka o odgovarajućoj ortodontskoj terapiji donosi se tek nakon specijalističkog pregleda.

Zašto odabrati Polikliniku IMED?
- Tim stručnjaka s dugogodišnjim iskustvom
- Širok izbor aparatića za sve uzraste
- Digitalno skeniranje čeljusti i osmijeha
- Korištenje najkvalitetnije moderne opreme
- Podrška pacijentima u svakom koraku terapije
- Ulazak u terapiju bez čekanja - termin za prvi pregled dostupan je već za 1-2 tjedna!

Upoznajte naše ortodonte
Naši ortodontski stručnjaci u IMED-u donose bogato višegodišnje iskustvo u ispravljanju nepravilnosti zubi i čeljusti, koristeći najnaprednije dijagnostičke i terapijske metode.
Svakom pacijentu pristupamo individualno, pažljivo slušajući Vaše želje i potrebe kako bismo zajedno postigli savršeni osmijeh. Zahvaljujući stručnosti, predanosti i personaliziranom pristupu, stekli smo povjerenje brojnih zadovoljnih pacijenata diljem regije.

Kako izgleda tijek ortodontske terapije u IMED-u?
Nakon detaljnog pregleda specijalista ortodoncije, dobit ćete personalizirani plan terapije i neobvezujuću ponudu. Ponudu će Vam dodatno pojasniti naš stručnjak za odnos s pacijentima, koja Vam služi kao osobni kontakt i podrška tijekom cijelog procesa terapije.
Ako prihvatite ponudu, krećemo s početkom terapije. Trajanje terapije varira od pacijenta do pacijenta, ovisno o situaciji u ustima i dosljednosti prilikom nošenja alignera. Alignere je potrebno mijenjati otprilike svaka 2 tjedna, uz redovite dolaske na kontrole. Jako je važno nositi alignere barem 20-22h dnevno kako bi postigli dobre rezultate.
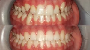
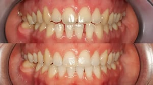
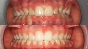
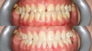
Pogledajte našu galeriju pacijenata




Što sve uključuje prvi pregled?
čeljusti
metalni, estetski ili mobilni
početne situacije

mogućnost plaćanja na rate već od 99€ mjesečno
Zašto odabrati IMED?
Kombinacija stručnog tima, dugogodišnjeg iskustva u ortodontskoj terapiji i velikog broja zadovoljnih pacijenata čini IMED izborom za najzahtjevnije slučajeve.

Što pacijenti najviše ističu nakon terapije
Iskustva pacijenata koji su odabrali ortodontsku terapiju u Poliklinici IMED i opisali kako im je terapija promijenila svakodnevni život.

"U IMED sam došla prije 2 godine zbog potrebe za nošenjem aparatića, a nakon konzultacije sa doktorima odlučila sam se za Invisalign terapiju. Od prvog posjeta ovoj poliklinici znala sam da sam u pravim rukama. Osoblje je izrazito profesionalno i ljubazno i uvijek su spremni odvojiti vrijeme da odgovore na sva vaša pitanja. Cijela terapija je prošla izvrsno i ovim putem želim pohvaliti doktoricu Marinković za savršeno odrađen posao! Zahvalna sam na pažnji i posvećenosti i preporučujem IMED svima koji traže kvalitetnu uslugu."
“Vrhunska usluga i profesionalnost. Nadmašuje sva očekivanja. Najbolji izbor u regiji. Hvala od srca”
“U Poliklinici IMED sam prošla sve i svašta - ortodontsku terapiju, vađenje zuba, ugradnju implantata i klasične popravke i preglede zubiju. Sve što sam tamo radila bilo je stručno odrađeno, sve stoji na mjestu i nikad nisam osjetila bol. Svi doktori koji su surađivali su baš profesionalci, ali normalni i ugodni u komunikaciji. Termini se dobivaju brzo, administracijski sve ide glatko. U svakom slučaju sve što buduće planove radim ovdje.”
“Želim se zahvaliti osoblju poliklinike IMED. Jako sam zadovoljna kvalitetom usluge koju sam dobila – osoblje je jako simpatično, stručno, uslugu obavljaju na maksimalno ugodan način i planiram i dalje biti Vaš pacijent.”rošla odlično, hvala sestri Hani što je bila uz mene tijekom noći kad je najviše trebala. Posjedujete sve – od srdačnosti, razumijevanja i strpljenja do profesionalnosti i stručnosti. U moru zubara na tržištu, za sebe i svoju obitelj uvijek ću birati IMED."
“Izvrsni liječnici, medicinske sestre sjajne, prijemni pult profesionalan. Ne čekamo dulje od par minuta. Cijena prati kvalitetu i obratno. Potpuno zadovoljni.”
Često postavljena pitanja
Iako su obje vrste prozirnih alignera vrlo slične, postoje određene razlike. Invisalign® koristi patentirani SmartTrack® materijal, koji osigurava bolje prianjanje i predvidljivije pomicanje zuba, dok IMED Easy-Fix® koristi materijal koji je nešto tanji i otporniji na mrlje. Invisalign često nudi širi raspon indikacija i dodatne opcije, poput Invisalign Teen alignera za mlađe pacijente. S druge strane, IMED Easy-Fix® aligner može biti financijski pristupačnija opcija.
Aligneri se obično mijenjaju svakih 7 do 14 dana, ovisno o preporuci ortodonta i individualnom napretku terapije.
Trajanje terapije ovisi individualnom slučaju pacijenta i složenosti problematike. U prosjeku, tretman obično traje između 6 i 18 mjeseci, ali kod manjih korekcija može biti kraći, dok kod složenijih slučajeva može trajati duže. Ortodont će na temelju pregleda i digitalnog skeniranja Vaše čeljusti napraviti individualni plan liječenja i procijeniti trajanje terapije.
Alignere je potrebno prati mlakom vodom i četkicom za zube ili posebnim sredstvima za čišćenje alignera. Preporučuje se izbjegavati vruću vodu, jer može deformirati materijal. Također, važno ukloniti alignere prilikom jela kako bi se spriječilo nakupljanje bakterija i mrlja.
Malim koracima do savršenog osmijeha
Naručite se na pregled kod naših specijalista ortodoncije i napravite prvi korak prema zdravijem i skladnijem osmijehu!Gdje se nalazimo?
Poliklinika i dnevna bolnica IMEDSelska cesta 90A
Zagreb 10000, Hrvatska